자연치아살리기 1 페이지

본문 바로가기

자연치아살리기

자연치아살리기 HOME


자연치아살리기

자연치아살리기

최창수치과에서는 최대한 본인 치아를 살릴 수 있도록 치주치료 및 골이식
등의 방법을 이용하여 주기적인 관리를 도와드리고 있습니다.

자연치아살리기

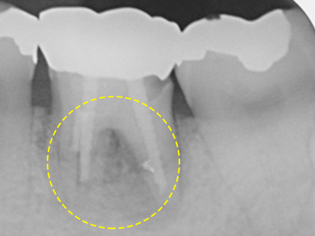
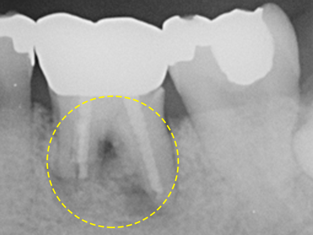
자연치아살리기를 실천하고 있는 최창수치과에서는 소중한 자연치를 살리고 보존하는 다양한 방법들을 보유하고 있습니다. 환자분들의 현재 구강 상태에 대해 세심하게 진료하여 파악함으로써 불필요한 발치가 진행되지 않도록 체계적인 시스템 아래 솔루션을 제공하고 있습니다.

자연치는 외부로부터 세균이 침입했을 때 방어 역할을 하는 치주인대를 가지고 있으며 외부로부터의 충격을 완화하는 역할을 하죠. 이러한 자연치를 오랜 기간 건강하게 사용하기 위해서는 주기적인 검진과 관리가 중요합니다.

최창수치과에서는 30년의 노하우 1代 원장, 구강외과 전문의 2代원장이 2대에 걸쳐 자연치아살리기를 실천하고 있습니다.
일회적인 치료가 아닌 평생 주치의로서 꾸준한 관리를 도와드리고자 항상 최선을 다하겠습니다.

자연치아살리기

자연치아 치료 과정

자연치아살리기

자연치아살리기


최창수치과의원
개인정보처리방침 이용약관 이메일주소 무단수집거부
상호 : 최창수치과의원 사업자등록번호 : 543-94-01107 주소 : 부산광역시 동구 초량로 35 대표원장 : 최창수, 최홍석TEL: 051-464-8855E-mail: basket0531@naver.com
1992년부터 쌓아온 30년의 노하우 2대를 잇는 주치의, 2인 협업 진료 구강외과전문의 진료 최창수치과의원 입니다.

Copyright © dental1992.com All rights reserved.